O que é a reabilitação oral?

Sabia que a reabilitação oral é uma especialidade da medicina dentária? Todos sabemos a importância que têm as peças dentais para o ser humano. São elas que permitem-nos mastigar a comida e ajudar assim o sistema digestivo para uma melhor digestão. Juntamente com a língua, ajuda também na pronúncia das palavras. Sem descurar outras, estas são razões mais que suficientes para mantermo-las saudáveis durante toda a vida.

Quando descuramos os cuidados adequados com os dentes, certas doenças podem provocar a perda de algumas peças dentárias, não sendo tratadas atempadamente, o que levará a problemas funcionais e estéticos.

É justamente para resolver este problema que a especialidade da medicina dentária denominada de reabilitação oral existe. O seu propósito é restaurar a dentadura, recuperar a sua funcionalidade, saúde e estética utilizando próteses dentárias fixas ou removíveis.

Esta especialidade abrange desde o diagnóstico ao plano de tratamento e reabilitação. A preservação das funções orais – como a mastigação e a fono-articulação – através de procedimentos modernos com alta tecnologia (combinados com outras disciplinas como a periodontia, endodontia, implantologia e ortodontia) é o seu objectivo.

Certamente, nem todos os pacientes precisam de reabilitação oral mas há certas e determinadas características que indicam ao médico dentista quais as pessoas que se necessitam destes trabalhos especiais. Abaixo indicamos algumas das características:

– Tratamento do canal radicular (endodontia):  As pessoas que efetuam este tipo de tratamento são candidatas à reabilitação oral a fim de reconstruir o dente afetado de forma adequada.

– Dentes fraturados:  Em algumas situações, o traumatismo causado por hematomas ou bruxismo é tão grave que torna-se impossível o restauro direto do dente. Nestes casos, é sugerido ao paciente um tratamento de reabilitação oral com a finalidade de recuperar a função dos dentes.

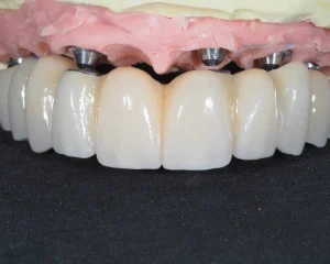
–  Dentes perdidos:  Como sabe, os dentes tendem a sair devido a traumas e infeções nas gengivas. Quando tal acontece, existem diferentes formas de recuperar a estética, harmonia e funcionalidade através de tratamentos de reabilitação oral como a colocação de implantes, próteses fixas ou removíveis.

Tipos de próteses

As próteses dentárias são dispositivos artificiais utilizados para restaurar a anatomia de um ou mais dentes. O seu objetivo é recuperar as funções orais como a mastigação efetiva e a fonética. Não descurar o facto de que a sua prótese dentária não deve interferir na deglutição de alimentos, respiração e movimentos da língua para que sinta-se confortável no momento em se alimenta e comunica.

O seu dentista indicar-lhe-á que tipo de próteses precisará para devolver-lhe a harmonia e estética à sua boca. O seu problema tanto pode necessitar de diversas técnicas de reabilitação oral como somente de uma e, ainda que conte com o aconselhamento profissional, deverá ter em conta alguns aspetos como a saúde, comodidade, eficácia do tratamento ou, inclusivamente,  o custo do mesmo. Todos estes fatores ajudarão na sua decisão.

As próteses dentárias são classificadas em duas categorias principais tendo em consideração as diferentes características de cada uma.

1. Prótese dentária fixa.

Apenas o seu dentista deve colocá-la e/ou removê-la. Parece um dente normal e requer uma continuidade da sua rotina diária para a sua manutenção. Dentro deste tipo de reabilitação encontra: As pontes dentárias – utilizadas para substituir um ou mais dentes; as próteses fixas sobre implantes dentários – utilizadas em casos de pessoas que não possuem dentes ou que necessitam de substituir um ou mais dentes sem danificar os dentes naturais.

2. Prótese dentária removível.

É um tipo de prótese que pode ser extraída por si sem necessariamente ter de ir ao seu dentista, devendo limpá-la diariamente. Seja por questões financeiras ou de saúde – quando não tem osso suficiente para colocar um implante – esta é a solução mais utilizada.

Pode escolher entre uma prótese parcial – para substituir alguns dentes ausentes na sua cavidade oral – ou uma prótese dentária completa – indicada para pessoas que não têm próteses dentárias e estão contraindicadas para implantes.

Relação com periodontia, endodontia e implantologia

A importância da reabilitação oral serve, para o dentista, ter o conhecimento relacionado com o restauro da cavidade bucal e proporcionar harmonia e estética à prótese.

Em relação à periodontia – doença que se produz na gengiva resultante de uma rotina de limpeza dentária não-saudável – o dentista deverá inicialmente tratar a inflamação, vermelhidão e sangramento das gengivas para depois prosseguir com a reabilitação oral e, assim, assegurar uma forma adequada, função, estética e conforto da dentição.

Garantir o correto funcionamento da cavidade bucal para que haja uma mastigação adequada é um dos principais objetivos do dentista. No caso de endodontia o especialista em reabilitação oral é motivado a colocar uma prótese removível ou fixa.

Implantologia e reabilitação oral estão intimamente relacionadas. O reabilitador tem uma ampla visão do problema e o outro especialista coloca a parte do implante. Ambos os dentistas devem compreender-se para conseguirem os resultados benéficos para o paciente.

implante dental, O que é a reabilitação oral?

Benefícios da reabilitação oral

A recuperação completa da funcionalidade e melhorias na mordida, eliminação de dores de cabeça, eliminação de dores nos músculos da mastigação, entre outros, são muitos dos benefícios que advêm do restauro dos dentes através da reabilitação oral.

Ter uma harmonia dentária representa uma estética melhor, o que aumenta a sua autoestima, o que fará com que sorria mais confiante, certo de que não tem nenhuma anomalia. Ninguém notará a peça falsa dada a semelhança com os dentes naturais.

Embora muitas pessoas não o relacionem, a reabilitação oral irá melhorar o seu processo gástrico pois, mastigar corretamente os alimentos facilita o processo digestivo.

O que disponibilizamos neste artigo sobre tão importante tópico tem a finalidade de informar e dar-lhe um conhecimento geral sobre o mesmo. Ninguém para além do seu dentista, que é o especialista indicado, saberá melhor se precisa de reabilitação oral. Só ele poderá avaliar o seu caso e propor a melhor solução para si.

WhatsApp
Facebook
LinkedIn

Marque uma Consulta com o Dr. Pedro Coelho

Se procura um especialista em implantologia oral em Oeiras, marque uma consulta na Clínica Dr. Pedro Coelho e descubra as soluções disponíveis para o seu caso.

Picture of Dr. Pedro Coelho

Dr. Pedro Coelho

Especialista em Implantologia Oral Avançada Primium

Marcar Consulta